Anatomy Quiz 2

Improve your radiological anatomy knowledge

Ten questions testing your anatomy knowledge!

You will be faced with ten different images from different radiology modalities. Pick the best answer from the five possible answers then submit and scroll down for the explanation.

At the end you’ll receive a final score but don’t worry it is more about picking something up along the way.

Case 1

Let’s start with a PA chest X-Ray. What is the arrow pointing at?

 

Choose one from the following options:

 
 
 
 
 

Case 2

Ultrasound this time. What is the arrow pointing at?

 

Choose one from the following options:

 
 
 
 
 

Case 3

Now let’s look at an abdominal MRI. What is the arrow pointing at?

 

Choose from one of the following:

 
 
 
 
 

Case 4

Another abdominal MRI in this case. What is the arrow pointing at?

 

Choose one from the following options:

 
 
 
 
 

Case 5

An abdominal ultrasound for this case. What is the arrow pointing at?

 

Choose one from the following:

 
 
 
 
 

Case 6

Another MRI, this time we’re going down to the pelvis. What is the arrow pointing at?

 

Choose from one of the following options:

 
 
 
 
 

Case 7

We’ll go back to a PA chest X-Ray for this case. What are the arrows pointing at?

 

Choose from one of the following options:

 
 
 
 
 

Case 8

Another abdominal ultrasound for case 8. What is the arrow pointing at?

 

Choose from one of the following options:

 
 
 
 
 

Case 9

Here e are looking at a pelvic MRI image. What are the arrows pointing at?

 

Choose from one of the following:

 
 
 
 
 

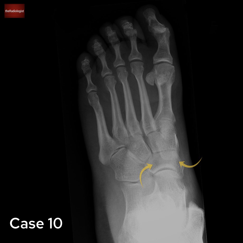
Case 10

For the last case let’s look at a foot X-Ray. What are the arrows pointing at?

 

Choose from one of the following options: