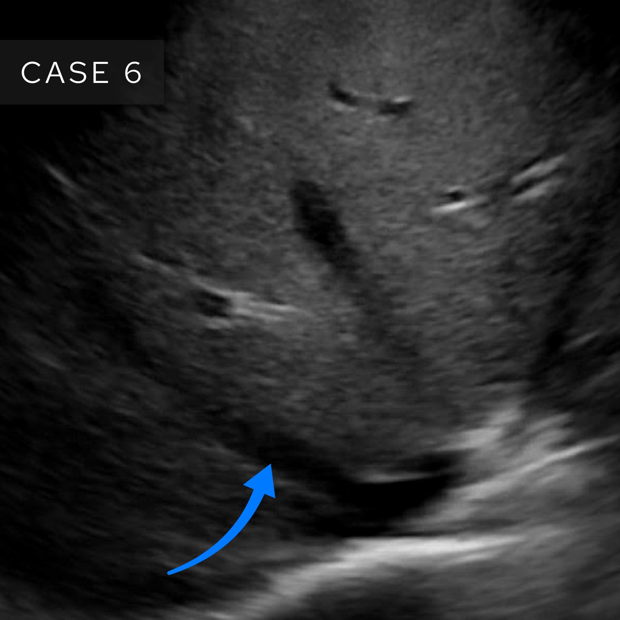
Case 6
This time we’re going to look at an ultrasound. What is the arrow pointing at here?
Choose one from the following options:
Answer: Right hepatic vein
This is an image of an ultrasound of the liver. We are near the top end (superior) of the liver. How do we know this? We can see the hepatic veins – these drain into the inferior vena cava at the superior end of the liver.
The hepatic veins drain into the inferior vena cava at the superior end of the liver
This image is a nice depiction of the hepatic veins and an image I try and see every time I do a liver ultrasound. I get the picture by placing the probe under the right costal margin (below the ribs anteriorly) and asking the patient to take a gentle but deep breath in before holding. I then fan through looking to find this picture. Don’t forget to let your patient breathe again or you’ll need to set off the crash alarm.
The three hepatic veins look a bit like ‘crow’s feet’ and can be easily distinguished as right, middle and left.
The three hepatic veins look like ‘crow’s feet’ heading towards the inferior vena cava
On ultrasound we can measure the blood flow within the hepatic vein by measuring the Doppler signal, which isn’t too difficult when you know the basics of your ultrasound machine. The hepatic vein Doppler waveform is a bit complicated but let’s try and break it down here.
Warning: this gets a bit complicated! Only read on if you are undertaking radiology/ultrasound exams or perform hepatic vein Dopplers in your normal practice – otherwise move on to the next question.
Changes of pressure within the right atrium feed their way through the inferior vena cava and have an impact on the hepatic vein Doppler waveform which we can see here:
The dreaded hepatic vein Doppler waveform. Note most of the blood flow is ‘antegrade’, ie towards the heart with in usual circumstances two peaks, the ‘s’ and ‘d’ waves.
Anything that increases right atrial pressure such as atrial contraction or filling of the atrium against a closed tricuspid valve will cause the waveform to slope upward . In contrast, anything that decreases right atrial pressure (right ventricular filling) will cause the waveform to slope downward .
Changes in right atrial pressure lead to changes in the hepatic vein waveform
So let’s take each of the parts of the waveform in turn. We start with the ‘A’ wave which represents contraction of the right atrium (atrial systole). At this point blood gets propelled both into the right ventricle but also into the inferior vena cava and hepatic veins.
A wave – blood propelled into the inferior vena cava and hepatic veins
The ‘s’ wave represents ventricular systole. The right ventricle contracts sending blood into the right ventricular outflow tract and then pulmonary trunk. At this point the tricuspid valve annulus is ‘sucked’ down towards the cardiac apex and blood is pulled from the liver. towards the heart. Note if there was tricuspid regurgitation less blood would be pulled from the liver leading to a decreased or even reversed ‘s’ wave.
‘s’ wave – blood is pulled from the liver during ventricular systole. Less blood would be pulled in cases of tricuspid regurgitation leading to a reduced or decreased ‘s’ wave
Next we have the ‘v’ wave which is considered a ‘transitional’ phase. The right atrium continues to fill whilst the valve is closed leading the wave to slope upwards before the valve opens, the ventricle fills and the wave slopes downwards.
‘v’ wave – this is considered a transitional phase
The ‘d’ wave is formed during ventricular diastole – here the ventricle relaxes and fills with blood whilst blood travels passively from the liver to the heart (antegrade direction).
‘d’ wave – blood flows from the liver to the heart during ventricular diastole
This represents the normal waveform however in some circumstances we will find an abnormal waveform, summarised in the table below.
Learning point
Knowing the pattern of a hepatic vein waveform is important for anyone performing liver ultrasound. One might want to specifically request a hepatic vein Doppler when suspecting Budd Chiari syndrome , obstruction of the hepatic veins usually caused by thrombosis.
A third of cases are idiopathic but otherwise any thrombotic risk factor (eg immobility, thrombophilia) can predispose to Budd Chiari syndrome. Note that it can co-exist with portal vein thrombosis and so the portal vein needs to be assessed as on any liver ultrasound.
Budd Chiari syndrome classically presents with the triad of abdominal pain, ascites and liver enlargement.