On call quiz 2

Improve your acute radiology skills

Ten questions based on real life on-call radiology cases!

You will be faced with ten different cases showing different radiology modalities. Pick the best answer from the five possible answers then submit and scroll down for the explanation.

At the end you’ll receive a final score but don’t worry it is more about picking something up along the way.

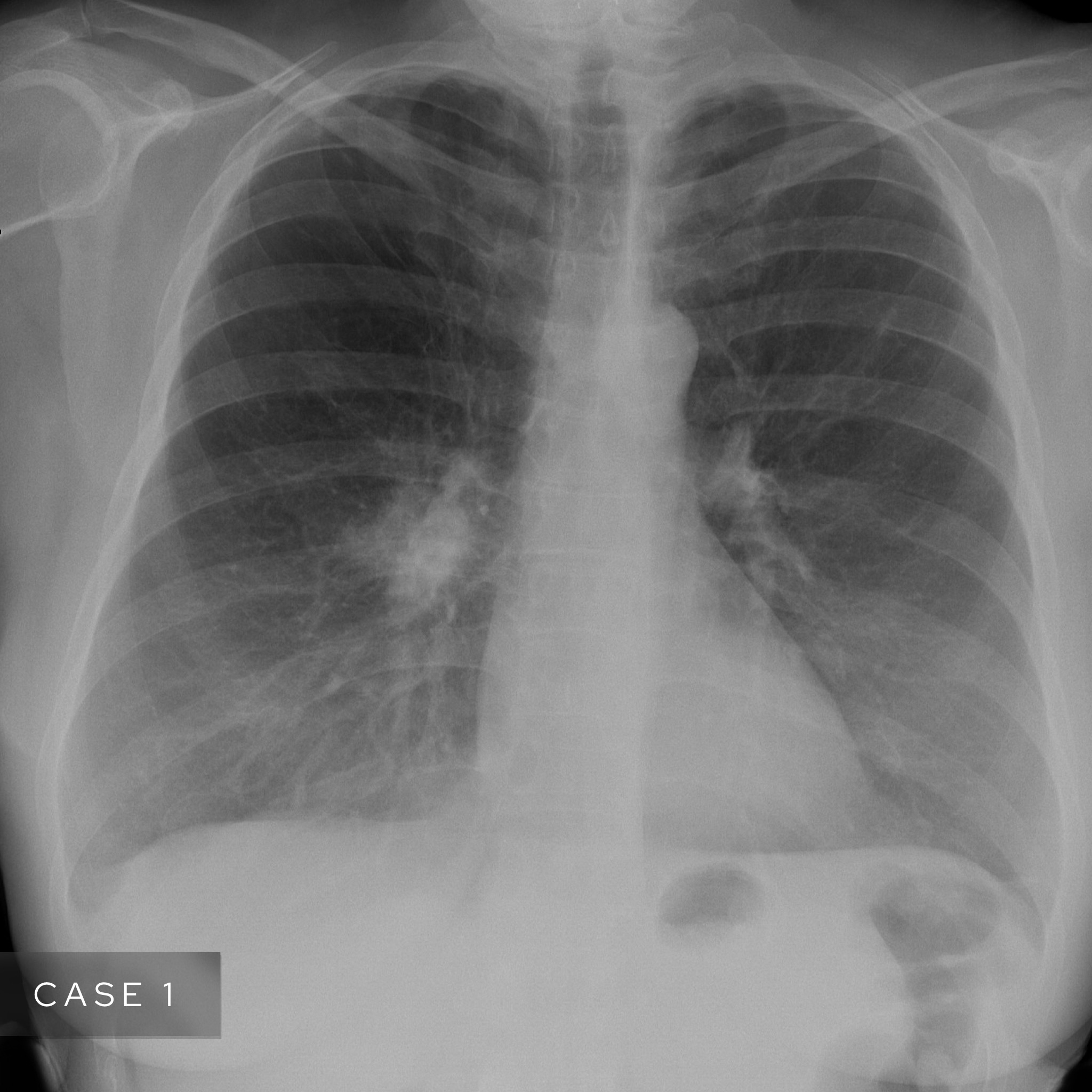
Case 1

A female in their 60s presents with unremitting cough on a background of weight loss. Have a look at the chest X-Ray below:

What is the most likely diagnosis? Choose from one of the following:

 
 
 
 
 

Case 2

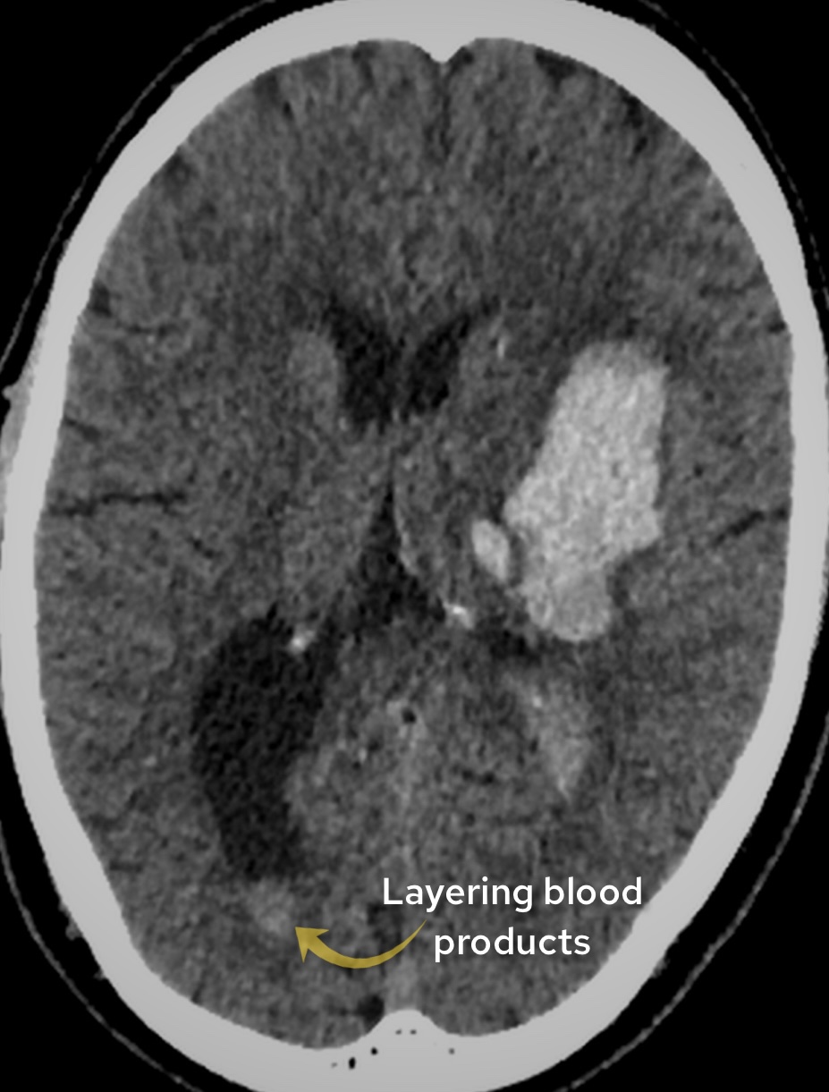
A male in his 70s presents with right sided weakness. Have a look at this image from a non contrast CT head. What best describes the finding and most likely diagnosis?

 

Choose from one of the following options:

 
 
 
 
 

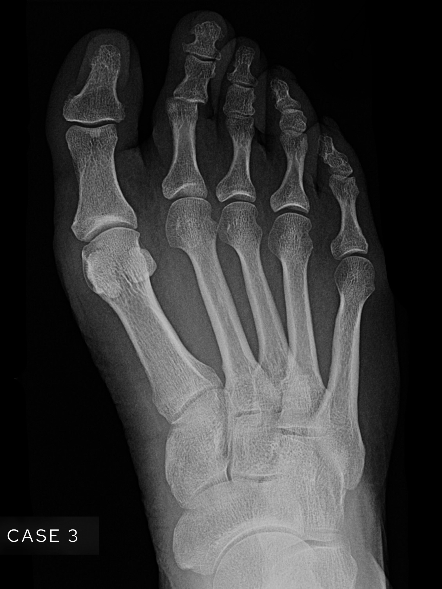
Case 3

A female in her 70s presents with foot pain after trauma. Have a look at her foot X-Ray below:

 

Choose from one of the following options:

 
 
 
 
 

Case 3

A male in his 80s presents to the Emergency Department with shoulder pain and deformity after an episode of trauma. What is the diagnosis?

 

Choose from one of the following options:

 
 
 
 
 

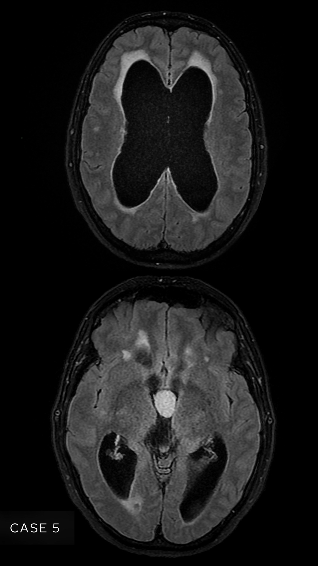
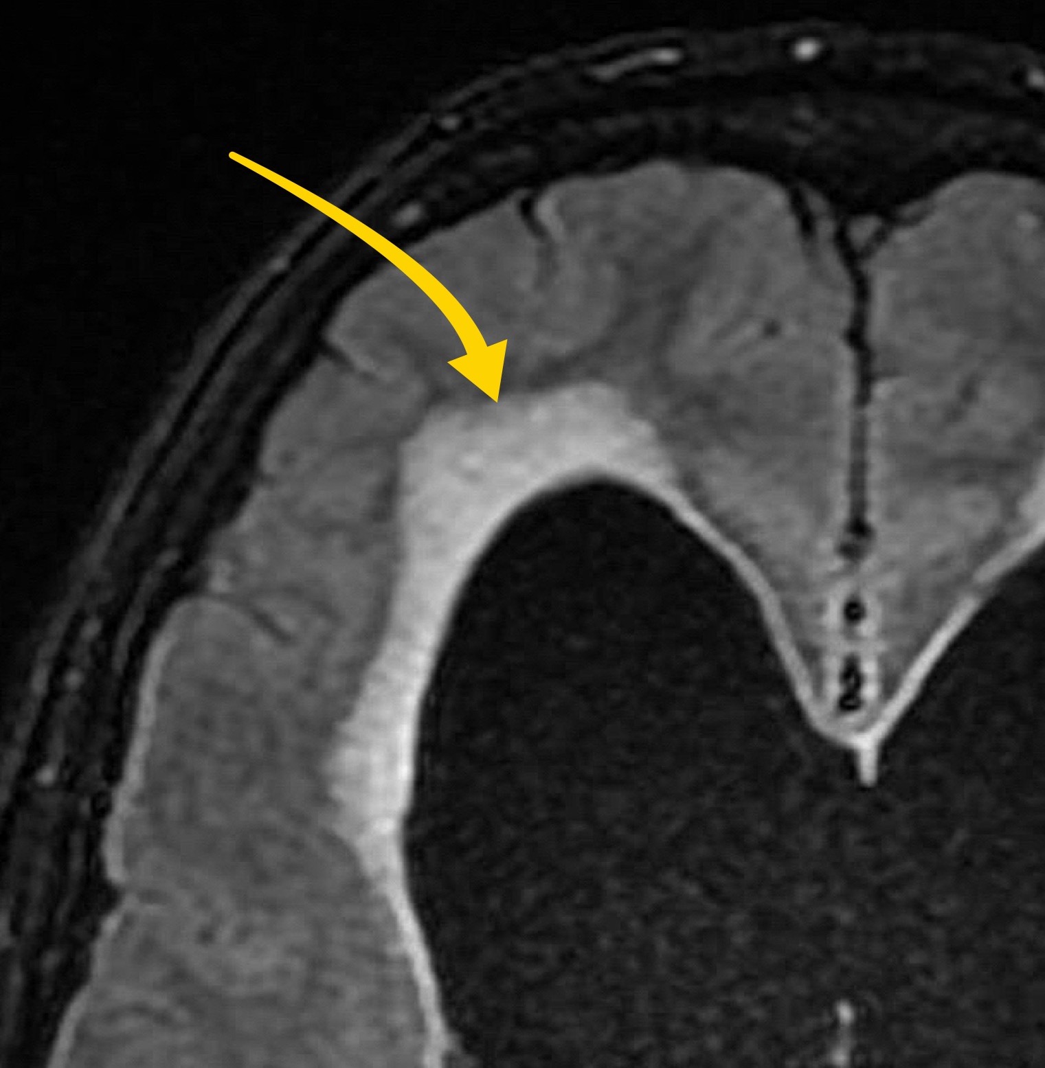
Case 5

A female in her 50s presents with gait disturbance. Here are two images from a MRI head (FLAIR sequence). What is the most likely diagnosis?

 

Choose from one of the following options:

 
 
 
 
 

Case 6

A male in his 30s presents with abdominal pain. Here is a non contrast CT of his abdomen and pelvis.

Tap the first icon on the left to scroll.

 

What best describes the main scan finding? Choose one from the following options:

 
 
 
 
 

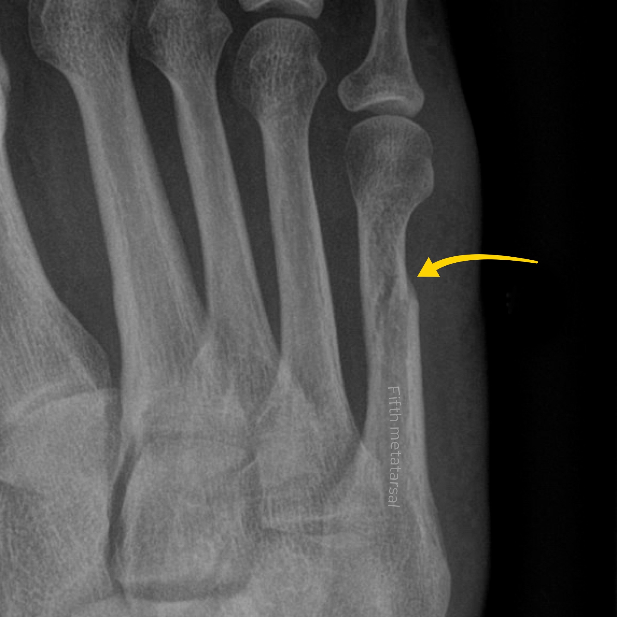
Case 7

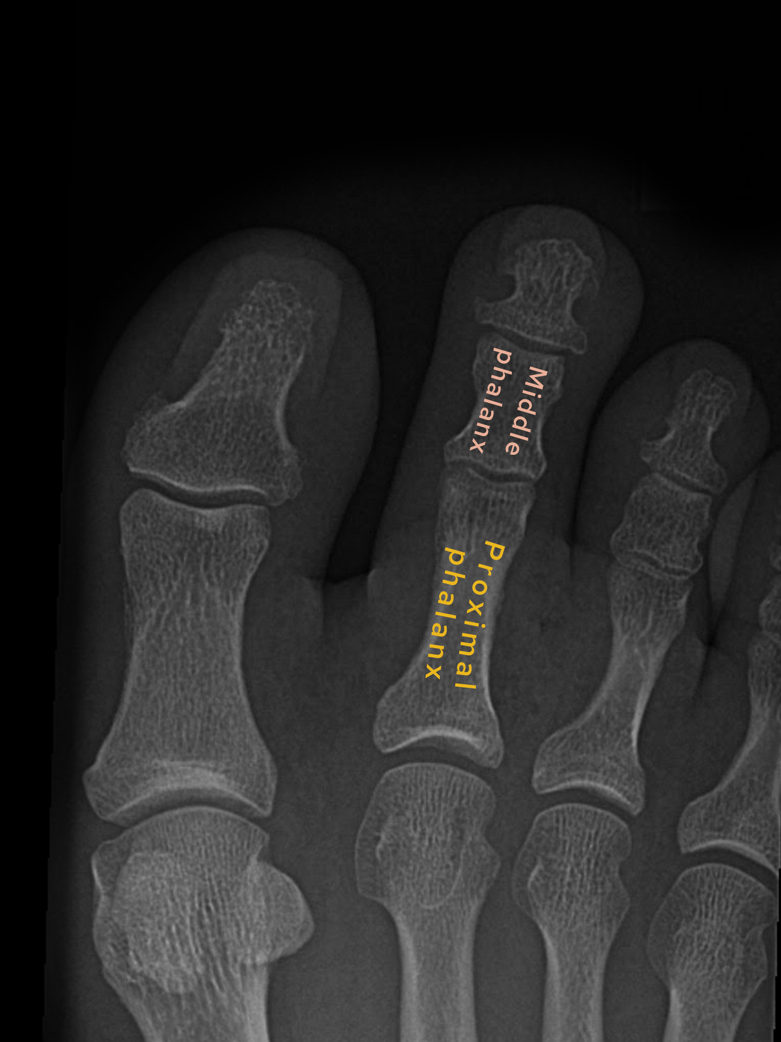
A female in her 40s presents to the ED with foot pain after an episode of trauma. What does the foot X-Ray show?

 

Choose from one of the following:

 
 
 
 
 

Case 8

A male in his 40s presents with chest pain. Here is a post contrast CT of his thorax.

Tap the first icon on the left to scroll.

 

What best describes the main scan finding? Choose one from the following options:

 
 
 
 
 

Case 9

A female in their 70s presents with wrist pain after a fall onto an outstretched hand (FOOSH). Assess the following wrist X-Ray. What is the most likely diagnosis?

 

Choose from one of the following options:

 
 
 
 
 

Case 10

A male in his 50s presents with reduced GCS

Tap the first icon on the left to scroll.

 

What best describes the main scan finding? Choose one from the following options: